官方微博
爱尔创主站
关注爱尔创终端:
首页
品牌介绍
瓷倍健
魅 影
锂 瓷
润 瓷
瓷优健
玉 瓷
授权加工厂
瓷倍健加工厂
瓷优健加工厂
玉瓷加工厂
魅影加工厂
锂瓷加工厂
润瓷加工厂
特约合作伙伴
2026版义齿防伪
加工厂登录
患者查询
管理员登陆
联系我们
联系我们
在线反馈
医生体验
经典病例
备牙知识
粘接知识
再教育课程
行业资讯
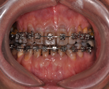
修复前
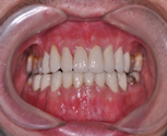
修复后
修复前
修复后
共有 6 条记录,分 2 页
上一页
1
2
正在执行查询,请稍后...